Скрининговые методы диагностики диабетической ретинопатии не всегда позволяют полноценно оценить состояние сетчатки. Для лучшего понимания степени повреждения органа зрения и определения тактики лечения используются дополнительные методы офтальмологического обследования при сахарном диабете.
- Флюоресцентная ангиография
Ангиография – рентгенологический метод исследования кровеносных сосудов, который позволяет оценить их состояние, проходимость - нет ли сужения просвета или расширения, а также узнать, есть ли окольный кровоток, в том числе и новообразованные сосуды.
При ангиографии применяется контрастное вещество, оно вводится в кровоток перед исследованием. Попадая в исследуемые сосуды позволяет оценить их состояние - без него они просто не будут видны.
В данном случае используется особое контрастное вещество – флюоресцеин. Оно вызывает свечение в ответ на световое воздействие – попадании луча света.
После введения препарата флюоресцина в локтевую вену сразу начинается регистрация изображения глазного дна посредством его фотографирования (с помощью специальных ретинальных камер).
Зачем нужен данный метод?
- выявление патологических изменений, которые не видны при обычной офтальмоскопии
- локализация зон плохого кровоснабжения сетчатки
- нахождение патологического просачивания из кровеносных сосудов
- обнаружение новообразованных сосудов, в том числе мелких, не различимых при обычном осмотре
Кому нельзя проводить данное исследование?
- беременным
- людям с повышенной чувствительностью к флюорецеину, осторожно при других аллергиях и бронхиальной астме
В - сканирование или проще – эхография – это ультразвуковое исследование.
Оно позволяет определить:
- есть ли какие-либо патологические образования внутри глаза
- какая у них плотность и где они располагаются
Эхосигналы, отражаясь от тканей глаза преображаются в электрические импульсы. Эти импульсы на экране монитора мы видим как светлые точки, при слиянии которых формируется изображение определенной плоскости исследуемого глаза.
Исследование безболезненно и не вредит пациенту. Разрешено при беременности.
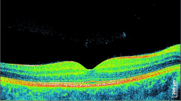
– Оптическая когерентная томография
Это важное исследование, которое позволяет оценить толщину, структуру и расположение различных слоев сетчатки и зрительного нерва. Это неинвазивное исследование, не вредит пациенту и не имеет побочных эффектов. Основано на принципе интерференции – сложения волн.
Данный метод имеет сходства с ультразвуковым исследованием, но вместо ультразвуковых волн применяют инфракрасное излучение около 1 мкм длиной. Информацию о структуре тканей получают путем измерения задержки луча, отражаемого от исследуемой части ткани.
На фото вы можете увидеть оптическую когерентную томограмму нормальной сетчатки. Все слои сетчатки суммарно определяют ее толщину (сверху вниз). Прибор представляет черно-белое изображение прозрачной сетчатки. Для удобства восприятия изображение приведено в псевдоцветной шкале, где структуры с большей оптической плотностью окрашены в красный цвет (теплые цвета), а с низкой в холодные, вплоть до черного. Результаты обследования приводятся в виде различных протоколов, карт и таблиц, позволяющих визуально и количественно определить изменения. Впадина на фото представляет собой область макулы.
